End of the season :( - broken finger
Moderators: fivat, rilliet, Arnaud, nils
- nils
- Swoard founder

- Posts: 3043
- Joined: Friday 22 March 2002, 19:22
- Location: Lyon, France - Swoard team
- Contact:
End of the season :( - broken finger
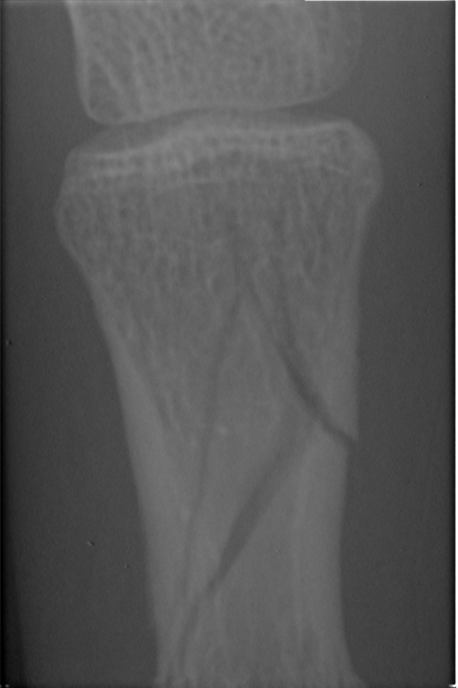
Broke the 2d phalanx of my 4th finger yesterday during a frontside... hit a iceball of the death due to poor grooming and icy slopes after warm days...did not see it (white out day)
Had my thor gloves but forgot the inside glove I usually use... hit was clean and sharp, immediately felt bone was broken grrrr...
Now facing 3 months of rehab before summer..and it hurts alright!!
Always wear a second glove when it's icy !!
Nils
Had my thor gloves but forgot the inside glove I usually use... hit was clean and sharp, immediately felt bone was broken grrrr...
Now facing 3 months of rehab before summer..and it hurts alright!!
Always wear a second glove when it's icy !!
Nils
-
keepTheSport
- Rank 5

- Posts: 200
- Joined: Saturday 18 February 2012, 15:15
Re: End of the season :( - broken finger
Really sorry to hear that Nils:-( Heal quickly.
So these other 2nd gloves you wear, they're not the usual wrist protectors then?
So these other 2nd gloves you wear, they're not the usual wrist protectors then?
Such fun-gr!
One more try-bk!
One more try-bk!
- tali
- Moderator

- Posts: 651
- Joined: Sunday 4 January 2009, 1:41
- Location: Mount St. Louis Moonstone, Ontario
Re: End of the season :( - broken finger
Hi Nils, sorry to hear that.
Get well soon.
Was is a ring finger?
Was is a ring finger?
Re: End of the season :( - broken finger
I did the same but when riding a race course, hit a pole with a pinky finger and broke it. after 2 weeks i got a hard bandage (plaster) and cut it the next day in wrist (so that the wrist was flexible), bought biggest palm gloves and ducktaped it and I was able to carve again with NO pain!
I did 6 days on snow like this.
here are the photos:
full plaster:

cuted:

I did 6 days on snow like this.
here are the photos:
full plaster:

cuted:

- nils
- Swoard founder

- Posts: 3043
- Joined: Friday 22 March 2002, 19:22
- Location: Lyon, France - Swoard team
- Contact:
Re: End of the season :( - broken finger
problem is wrist protector would have done nothing since its extremity of finger that got hit...Thor gloves are not very padded foam wise...
Nils
Nils
-
keepTheSport
- Rank 5

- Posts: 200
- Joined: Saturday 18 February 2012, 15:15
Re: End of the season :( - broken finger
I almost had a broken nose last Saturday night. I got up about 2 am to simply turn of an appliance in the kitchen.
Due to EC training of getting low before a turn, as I bent down (dropped down quickly) bending my knees and keeping my upper body upright
, my nose met with the edge of my glass dining table which of course the edge wasn't that visible in the dark...like getting an uppercut to the nose...
Oh boy did it hurt, then the blood came pouring...
I should have stuck to soft booting, then my nose would have missed.
Not in the same league as Nils but I was kinda' snowboarding
Due to EC training of getting low before a turn, as I bent down (dropped down quickly) bending my knees and keeping my upper body upright
Oh boy did it hurt, then the blood came pouring...
I should have stuck to soft booting, then my nose would have missed.
Not in the same league as Nils but I was kinda' snowboarding
Such fun-gr!
One more try-bk!
One more try-bk!
- Abrax
- Swoard team

- Posts: 422
- Joined: Sunday 25 November 2007, 19:12
- Location: Cracow, Poland
- Contact:
Re: End of the season :( - broken finger
www.carvingskills.com
580km in 3 hours and 5 minutes completely legal!!! I love german highways!!!
580km in 3 hours and 5 minutes completely legal!!! I love german highways!!!
- starikashka
- Rank 5

- Posts: 963
- Joined: Friday 29 February 2008, 20:07
- Location: Russia
- Contact:
Re: End of the season :( - broken finger
Nils, you are lucky! it is just finger
But anyway i wish you quick recovery.
When i just started ECing i broke two fingers in one vacation. Same cause - ice blocks. On the front hand - small and big. After that i do not put my fingers on the slope and take them together.
When i just started ECing i broke two fingers in one vacation. Same cause - ice blocks. On the front hand - small and big. After that i do not put my fingers on the slope and take them together.
i`m learning
Re: End of the season :( - broken finger
Jumped into this post. Nils hope it comes right. Just use no gloves with seperate fingers for EC.
- Petr
- Moderator

- Posts: 114
- Joined: Wednesday 21 March 2012, 23:20
- Location: Hintertux (AT) / Lenggries (DE)
- Contact:
Re: End of the season :( - broken finger
Hans, why do you think/know that this is better? Are they thicker (i.e., protect more)?Hans wrote:Jumped into this post. Nils hope it comes right. Just use no gloves with seperate fingers for EC.
Re: End of the season :( - broken finger
Smashed my shoulder last year because two or three of my fingers stuck behind a hard piece of ice/hole in the pist. My hand was stuck and my arm smashed behind my shoulder. Did cost me a year to fully recover. Tested/tried a pair of REY's gloves this weekend at the carving-masters: they are the BOMB because the overall surface is bigger as with finger gloves; result: less chance you will stuck into holes, you will have more mass to pieces of ice to break through. Size M, they were a little too big, but still functioned good. Wore them with my wrist protected innerglove of my XCR level gloves. Easy in and out. Downside: you can't take/grab something in your hand/fingers as easy as it is with normal finger gloves.
- Attachments
-
- REY's gloves.jpg (47.42 KiB) Viewed 19797 times
Re: End of the season :( - broken finger
I've also been extremely happy with Rey's carving gloves dating 2 seasons back - even today showing only minimal signs of wear. EXCELLENT gloves indeedHans wrote: Tested/tried a pair of REY's gloves this weekend at the carving-masters: they are the BOMB because the overall surface is bigger as with finger gloves; result: less chance you will stuck into holes, you will have more mass to pieces of ice to break through. Size M, they were a little too big, but still functioned good. Wore them with my wrist protected innerglove of my XCR level gloves. Easy in and out. Downside: you can't take/grab something in your hand/fingers as easy as it is with normal finger gloves.
Would not try brain surgery wearing them, though (I'm not a surgeon so won't be doing that with or without gloves anyway )
-
keepTheSport
- Rank 5

- Posts: 200
- Joined: Saturday 18 February 2012, 15:15
Re: End of the season :( - broken finger
Nils, is your finger fully recovered now?
Such fun-gr!
One more try-bk!
One more try-bk!

